![]() |
香港五大癌症 肺癌最常見瀏覽:466![]() 延伸閱讀: 1. 尼斯湖水怪 2025 年再次被拍到 🔥 2. 特斯拉自動駕駛,致命車禍賠 2.4 億美元 🔥 3. 中國這地方開始核酸檢測 🔥 4. 海嘯波已抵達日美沿海 5. 美對墜毀 UFO 外星技術逆向工程
|
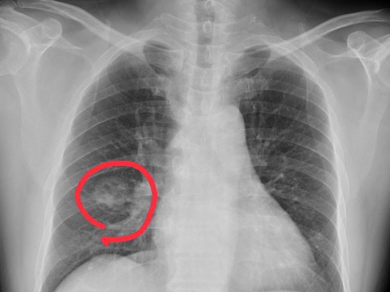
癌症,又稱惡性腫瘤,是由異常細胞無限制生長並擴散至身體其他部位所引發的疾病,可能干擾器官正常功能,嚴重時導致死亡。根據香港癌症資料統計中心 2022 年數據,本港五大常見癌症依次為肺癌、乳腺癌、大腸癌、前列腺癌及肝癌。專家強調,早期發現與及時治療可顯著提高治癒率,採取健康生活方式則能有效降低患癌風險。 癌症風險因素 可控與不可控並存 癌症風險因素分為不可控及可控兩類。不可控因素包括年齡、性別及家族癌症史;可控因素則涵蓋生活習慣與環境影響。超重及肥胖增加肝癌、大腸癌、乳癌等多種癌症風險;缺乏體能活動亦提升逾十種癌症的發生機率。不健康飲食,如過量紅肉、加工肉類或醃製食品,與大腸癌等疾病相關。吸煙、飲酒及過量紫外線暴露分別為肺癌、肝癌及皮膚癌的主要誘因。此外,環境污染、職業致癌物接觸及病毒感染(如乙型肝炎病毒、人類乳頭瘤病毒)亦是重要風險。專家建議,改善生活方式可顯著降低可控風險。 預防癌症 健康生活為關鍵 預防癌症需從多方面入手,包括維持體重指數 18.5 至 22.9 及健康腰圍(男性少於 90 厘米,女性少於 80 厘米),每周進行至少 150 分鐘中等強度帶氧運動,採取均衡飲食,增加蔬果攝取並減少紅肉及加工食品。戒煙、避免二手煙及酒精,減少紫外線暴露及致癌物接觸亦至關重要。接種乙型肝炎及人類乳頭瘤病毒疫苗,採取安全性行為,以及慢性乙型肝炎患者定期檢查,均有助降低患癌風險。專家強調,健康生活習慣結合疫苗預防可有效減少癌症發生。 早期警號與篩查 助及時發現 癌症早期症狀常不明顯,易與其他疾病混淆。專家提醒,長者應留意體重無故下降、胃口減退、持續疲倦,或異常症狀如大小便帶血、身體腫塊、陰道異常出血、痰中帶血、持續咳嗽、吞嚥困難或皮膚潰瘍等,及早求醫。癌症篩查可在無症狀時檢測潛在風險,政府已推出子宮頸普查計劃及大腸癌篩查計劃,旨在早期發現並提高治療成效。專家呼籲,公眾應積極參與篩查,並關注身體變化以把握治療時機。 |
猜你可能會喜歡: | ||
![]() 瀏覽:2023 吃什麼食物能補血? | ![]() 瀏覽:1875 我們應否清洗雞蛋? | ![]() 瀏覽:1794 懷胎 7 月被誤診腎病!女大學生與胎兒雙雙殞命! |