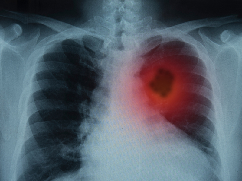
睡覺出現4種不適,可能是肺癌發出的信號

睡覺出現4種不適,可能是肺癌發出的信號

瀏覽:8936

睡覺出現4種不適,可能是肺癌發出的信號

現實生活中,其實有不少女性肺癌患者,不吸煙不喝酒不熬夜,但卻偏偏被肺癌盯上。不是說吸煙導致肺癌嗎?怎麼不吸煙也會得肺癌呢?今天帶大家一探究竟。

一. 不抽煙不喝酒,為什麼也會得肺癌?

據世界衛生組織下屬的國際癌症研究機構發佈的全球癌症數據顯示, 2020 年全球新增癌症病例約 1930 萬,肺癌發病率佔到全球新增癌症病例的 11.4%,位居癌症發病數第二位。

眾所周知,吸煙與肺癌的發生息息相關。煙草燃燒後,可產生 4000 多種化學物質,其中至少 60 種有致癌的可能性。吸煙者發生肺癌的風險是不吸煙者的 20 倍,而二手煙同樣會增加 20%-30% 的患病風險。

但據中國疾控中心、世界衛生組織、美國疾控中心聯合發佈的《全球成人煙草調查 - 中國部分》顯示:復旦中山廈門醫院胸外科範虹教授表示,中國女性吸煙率為 2.4%,而男性吸煙率則高達 52.9%。女性吸煙率雖不高,卻也難逃肺癌厄運,這是什麼原因呢?

吸煙是引起肺癌的重要原因,但並不是唯一的致病因素。其實,除了吸煙還與下面幾種因素有關:

一是二手煙。二手煙的暴露是女性肺癌的主要危險因素,天津醫科大學腫瘤醫院張真發教授表示,在不吸煙的中國女性中,二手煙暴露率達 70%,這部分人女性肺癌患者 1/4。大多數女性雖不主動吸煙,但被動吸煙吸進的有害物質比主動吸煙更多,且這些物質一樣會損害器官上皮細胞,誘發癌變。

二是炒菜油煙。下廚時空氣中的油煙也是肺癌的一大誘因。中國美食以爆炒、煎炸為主,這種烹飪方法會產生大量油煙,而油煙里存在一些致癌物質。日常生活中,不少女性做飯後,有食慾減退、精神不振等症狀,這就是油溫升到一定程度,形成多種化合物,引起人「醉油」的症狀。如果長時間處於油煙環境中,可能會刺激眼鼻喉黏膜,引起鼻炎、咽喉炎等,影響肺部健康。

三是遺傳。直系親屬中如有肺癌病史,尤其不止 1 名家庭成員有腫瘤病史,就要引起高度重視。很可能家族中攜帶有變異基因導致癌症的發生。

四是工作環境。出於工作需求,部分從業人員置身於某種類型的暴露風險之中,如長期處於建築工地,建築材料中的石棉,通過呼吸沉積在肺部,長期刺激呼吸道,就會引發呼吸道炎症,繼而誘發肺部腫瘤發生。

二、睡覺出現4種異常,或是肺癌信號

肺癌並不是無跡可尋,尤其是睡覺時,出現這幾種信號,就要警惕可能與癌症有關:

1、頻繁乾咳

咳嗽是非常常見的症狀,並不是所有咳嗽都與肺癌有關。但若本身屬於高危人群,且咳嗽遲遲不見好轉,並伴有痰中帶血、聲音嘶啞,乾咳持續,且夜晚有加重症狀,甚至會影響睡眠,就要警惕是肺部腫瘤引起。

2、胸背部疼痛

肺癌會侵犯相鄰的胸膜或胸壁,這兩個部位神經密佈,神經組織受損,可引起炎症反應。當癌細胞進一步侵犯,就會引起尖銳和斷續的胸膜性疼痛。

3、喘鳴

癌細胞侵犯,可影響支氣管道,引起支氣管粘液大量分泌,肺部炎症物質增多,這兩種物質都會導致患者呼吸不暢,出現呼吸困難的情況。在睡覺時,就會感覺胸悶氣短,導致喘氣聲過大,出現喘鳴症狀。

4、發熱

癌細胞需要不斷吸收人體營養進行繁殖,當人體供不應求,癌細胞就會出現供血不足壞死,從而引起人體炎症發熱。尤其是夜間,人體處於非活動狀態,發熱就容易被機體察覺,不少患者應身體發熱而醒。



猜你可能會喜歡:

瀏覽:976
專家警告這類食品,老人癡呆風險大增 88%

瀏覽:8176
如何知道自己有憂鬱症?8 大憂鬱症前兆症狀

瀏覽:1554
港大研究:脂肪肝加速乳腺癌惡化


返回主頁

@ 2019-2026
最後更新:2026-04-30
文章數:8525 / 閱讀量:65295587