手腳出現 4 種異常,可能是得肺癌了,千萬不要大意

手腳出現 4 種異常,可能是得肺癌了,千萬不要大意

瀏覽:17181

手腳出現 4 種異常,可能是得肺癌了,千萬不要大意

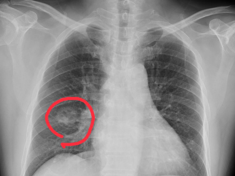
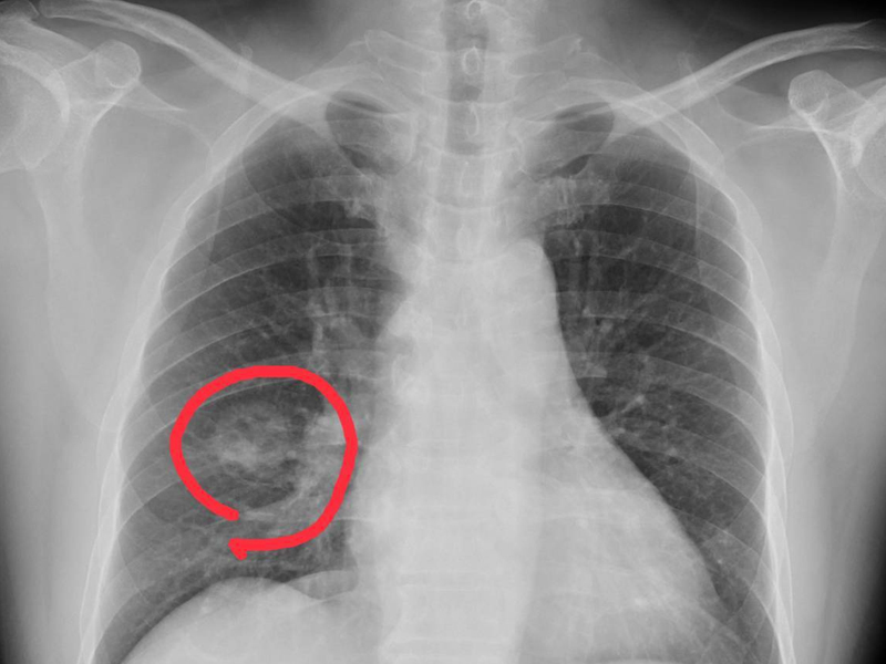
肺癌來臨並非無聲無息,提醒:手腳出現 4 種異常,可能是肺癌到來,不要大意!

1. 手指變粗

一般情況下手指變粗很可能是肺癌的信號,尤其是長期吸煙的男性朋友,要特別警惕杵狀指,也就是手指末端變粗,增生,膨大,同時還會伴有咳血、刺激性乾咳、胸痛等症狀。

2. 腿部栓塞

引起腿部栓塞的原因有很多,血栓是比較常見的一種,癌症也是其中一種。當下肢出現不明原因的栓塞,要警惕是宮頸癌、肺癌、乳腺癌的可能。

3. 雙手雙手腳麻痺

當肺部有惡性腫瘤時,由於癌細胞對肺組織的侵襲,會影響肺部的呼吸功能,導致體內氣體交換異常,導致患者全身缺氧,而人體的手腳屬於末端,這種現象尤其明顯,因此會出現手腳麻痺的症狀。

4. 關節疼痛

在肺癌晚期,腫瘤細胞可通過血液循環等途徑轉移到骨中,引起骨損傷和骨膜神經損傷,可引起局部劇烈疼痛症狀,如手足關節疼痛,也可導致病理性骨折,加重疼痛症狀。

手腳出現 4 種異常,可能是得肺癌了,千萬不要大意




猜你可能會喜歡:

瀏覽:1086
25 歲女子懷九胎,醫生建議兩次減胎手術

瀏覽:7103
連環屁不斷,小心是大腸癌

瀏覽:1322
吹冷氣後引發耳聾?醫生提醒這些注意事項


返回主頁

@ 2019-2026
最後更新:2026-04-03
文章數:8525 / 閱讀量:64971093