7 點起床 1 點睡覺,腦幹出血 ICU 抢救

7 點起床 1 點睡覺,腦幹出血 ICU 抢救

瀏覽:1223

7 點起床 1 點睡覺,腦幹出血 ICU 抢救

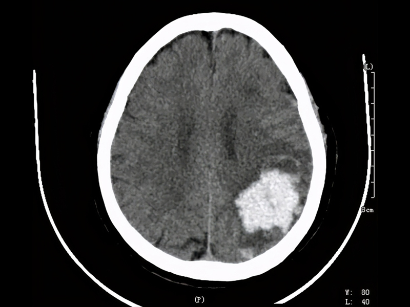
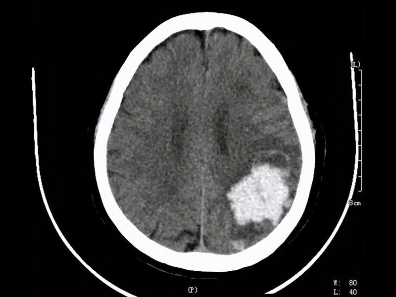
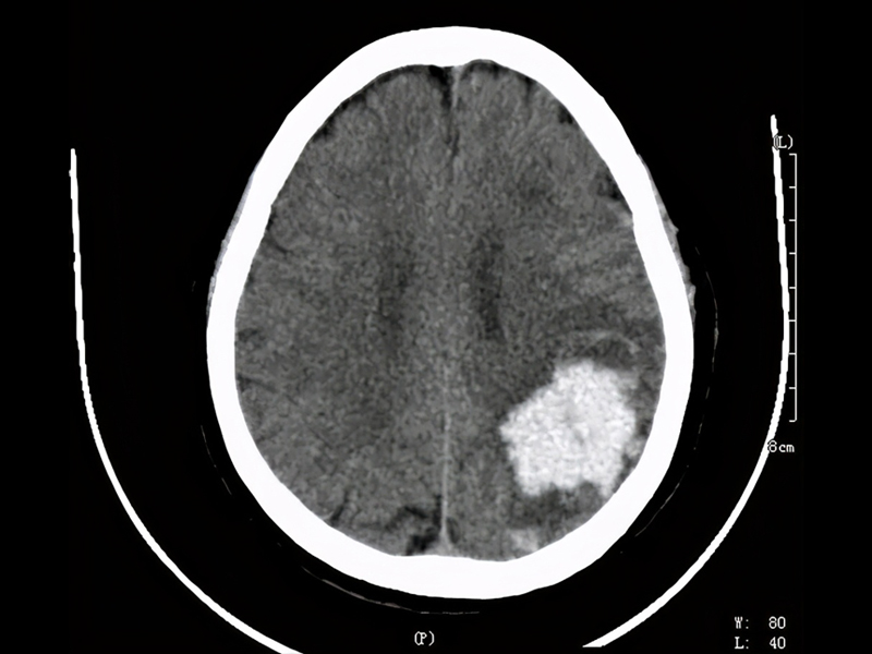
腦幹出血是神經系統的重症,疾病死亡率高。腦幹出血量在 15ml 以下,死亡率約 17.1% 左右;出血量高於 15ml 以上,死亡率 81.8% 左右;若超過20ml死亡率更高。

高血壓動脈硬化是腦幹出血的主要病因,腦幹出血是因高血壓導致基底動脈中央之破裂引起。在數秒到數分鐘內患者就會昏迷、四肢癱、針尖般瞳孔,數小時內會死亡。

腦幹出血容易與以下症狀混淆:

1. 腦出血:實質腦內的血管破裂出血。

2. 丘腦出血:破入腦室後容易發生梗塞性腦積水。

3. 橋腦出血:約佔腦出血的10%,多因基底動脈的腦橋支破裂導致。

4. 小腦出血:只實質小腦內的出血,與高血壓直接相關。

近日,浙江杭州一名 35 歲程序員因長期熬夜導致腦幹出血的消息引發廣泛關注,相關話題迅速登上熱搜榜。無獨有偶,知名在線教育平台猿輔導的一名員工也在公司內猝死,進一步引發公眾對過勞文化及職場健康的討論。這兩起事件不僅揭示了現代職場高強度工作的隱患,也敲響了健康警鐘。

7 點起床 1 點睡覺,腦幹出血 ICU 抢救


程序員吳先生的康復經歷:從死亡邊緣到重新啟航

據報道,這名程序員吳先生從事技術工作,月薪高達 3 萬元人民幣,但每天的工作時間從早上 7 點持續到凌晨 1 至 2 點,長期處於極度疲勞狀態。今年年初,他因腦幹出血 5 毫升陷入昏迷,昏迷長達 15 天,在 ICU 搶救 28 天後才逐漸恢復意識。隨後,他又轉入康復醫院進行 70 多天的治療,目前已恢復約 70% 的身體功能,但仍無法完全康復。

7 點起床 1 點睡覺,腦幹出血 ICU 抢救


7 點起床 1 點睡覺,腦幹出血 ICU 抢救


7 點起床 1 點睡覺,腦幹出血 ICU 抢救


7 點起床 1 點睡覺,腦幹出血 ICU 抢救


吳先生在接受媒體採訪時表示,生病後家庭經濟壓力陡增,治療費用高達 50 萬元人民幣,且失去了穩定收入來源。他坦言,自己曾為了追求高薪而壓抑自我需求,如今才明白健康的重要性。他在社交媒體上分享了自己的康復日記《腦幹出血 ICU 昏迷後 60 天康復重獲行走》,並呼籲網友珍惜身體,「如果能見到以前的自己,我想對他說:好好愛自己。」

7 點起床 1 點睡覺,腦幹出血 ICU 抢救


吳先生還特別提醒大眾,若經常熬夜且出現手指手掌麻木的情況,應立即就醫。「三天是黃金時間,否則可能導致腦溢血、半身不遂,甚至無法手術治療,只能靠養護慢慢恢復。」

目前,吳先生已辭去程序員工作,正在嘗試通過自媒體謀生,並選擇到貴州旅行放鬆心靈。他表示,現在更看重生活的自由與快樂,而非單純追求物質財富。

7 點起床 1 點睡覺,腦幹出血 ICU 抢救


猿輔導員工猝死事件:加班文化引發爭議

4 月 23 日晚,知名在線教育平台猿輔導的武漢分公司發生了一起令人震驚的猝死事件。據死者親屬透露,李某某(化名)是一名 2020 年畢業於華中農業大學的年輕員工,原計劃於今年 5 月 2 日舉行婚禮。然而,4 月 22 日晚間,他的女友在通話中得知他正在加班,此後便再也無法聯繫上他。

次日清晨,家屬發現李某某失聯後立即前往公司尋找,但因消防通道緊鎖、樓宇安保嚴密而無法進入。直到 4 月 23 日早晨,清潔人員才發現李某某已經不幸離世。據了解,事發樓層為 25 樓,消防通道需輸入密碼才能進出,樓下安保措施也十分嚴格,外人難以進入。

這一事件迅速引發輿論關注,不少網友對企業的管理方式提出質疑。據知情人士透露,猿輔導內部存在嚴重的加班現象,部分員工單日加班時間超過 6 小時,甚至連吃飯和上廁所都需要提前報備。一位正在接受培訓的新員工表示,聽聞「猝死事件」後當即決定離職,而另一位同事則在工作第一天便因無法承受強度選擇離開。

7 點起床 1 點睡覺,腦幹出血 ICU 抢救


7 點起床 1 點睡覺,腦幹出血 ICU 抢救


7 點起床 1 點睡覺,腦幹出血 ICU 抢救


官方回應與社會反思:健康第一 勞逸結合

針對此次事件,武漢公安東湖新技術開發區分局證實確有猝死情況發生,但是否屬於工亡仍需進一步調查與審批。截至發稿,猿輔導公司尚未對此事作出公開回應。

此前,猿輔導曾因「雙減政策」後的行業壓力而承認加班現象普遍存在,但否認管理異常嚴苛。公司表示,未來將考慮擴招人員並調整排班制度,以減輕員工負擔。然而,這些承諾能否真正落實仍是未知數。

專家指出,隨著社會競爭加劇,許多年輕人為了追求職業發展不惜犧牲健康,這種「過勞文化」亟需改變。無論是企業還是個人,都應更加注重勞逸結合,避免將健康置於風險之中。



猜你可能會喜歡:

瀏覽:2910
曾經有個廚師,上完廁所不洗手,結果導致 ...

瀏覽:6345
廣東 1542 確診,無疫苗可預防

瀏覽:1310
科學家在土壤中,首次發現巨型病毒


返回主頁

@ 2019-2025
最後更新:2025-12-05
文章數:8488 / 閱讀量:63469511