|
大便有這 4 異常,可能已有大腸癌瀏覽:12196延伸閱讀: 1. 為什麼愛說「其實」的人很討厭 2. 黃金瘋狂上漲,預示更大的事情正在發生 🔥 3. 北大芯片突破!算力達 GPU 千倍 4. 破獲柬埔寨特大殺豬盤,沒收 150 億美元比特幣 5. 神預知崩盤,30 分鐘賺 2 億美元
|
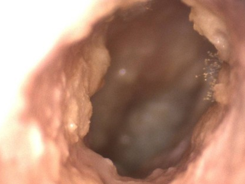
| 大腸癌不同的階段,症狀也完全不同,早期的時候可能沒有任何症狀,不痛不癢,不會影響食慾和睡眠,中期的時候最突出的表現就是大便異常,如果不注意觀察自己的大便,很難發現異常,到了晚期的時候,癌細胞到處轉移了,才會表現出來消瘦、疼痛、惡病質等信號。 由於大腸是存儲糞便的部位,所以大腸癌發出的信號又以大便異常最為常見,作為醫生,我一直告誡身邊的人,一定要注意觀察自己的大便,不能來也匆匆,沖也匆匆,這樣不看自己的大便,可能大便已經異常了,卻沒有發現。 所以,很多時候並不是大腸癌不聲不響,而是你忽視了它發出的信號。 既然大腸癌最常見的表現就是大便異常,如何來看大便呢? 第一,看大便帶不帶血 大便帶血,最怕發現了也無動於衷,很多人簡單認為大便帶血就是痔瘡,按照痔瘡去治療,甚至不去管,任由它發展,結果呢,等到確診大腸癌的時候才後悔莫及。 大腸癌被誤診為痔瘡,看似幼稚,卻是非常慘痛的現實。 不要相信自己的直覺,不要自己給自己當醫生,大腸癌和痔瘡,有時非常難以鑑別,很多人總是特別自信,我認為我就是痔瘡引起的,我不可能會得大腸癌。結果,腸鏡檢查,查出大腸癌。 第二,看大便有沒有變細 正常的大便是什麼樣?圓柱形的。 異常的大便是什麼樣?那就是細條樣的,感覺像是被什麼東西壓了一下一樣。 我們的腸腔是什麼形狀的?大便是什麼形狀,腸腔自然就是什麼形狀。 大腸癌在腸腔里的生長往往是環狀生長,所以大腸癌來臨的時候,腸腔自然就變得窄了,窄了以後大便在通過病變部位的時候,自然就被擠壓了一道。 然而,恰恰是這樣的症狀,是最易被忽視的,因為大便變細不像大便帶血那樣醒目,很多人根本沒有把大便變細當成一種病。 第三,看大便有沒有變稀 很多人一天大便要排很多次,而且每一次都是像稀水一樣,不成型,這樣的大便也要警惕異常。 在醫學上,我們管這種情況叫腹瀉,平時大家吃了不乾淨東西壞了肚子會腹瀉,但過幾天會立刻好起來,可如果一直腹瀉,持續了很久時間都不好,這個時候,就要警惕是不是腸癌了。 第四,看排便習慣有沒有異常 正常人的排便習慣非常規律,比如大多數人都是清晨起床後或早餐後排便一次,如果排便習慣突然變得雜亂無章,有時候一天好幾次,有時候又好幾天一次,這個時候,就要警惕是不是大腸癌了。 |
| 猜你可能會喜歡: | ||
瀏覽:854 早餐加一物,全身炎症風險降低 | 瀏覽:1145 重大科學發現!革命性抗衰老方法 | 瀏覽:14429 身體 3 處變黑,是癌症來臨的先兆 |